본문 바로가기

빠른 상담 신청

개인정보의 수집 및 이용목적 동의 [내용보기]


- -

▶ 개인정보의 수집 및 이용목적
- 서비스 이용에 따른 본인식별, 실명확인, 가입의사 확인
- 고지사항 전달, 불만처리 의사소통 경로 확보
- 신규 서비스 등 최신정보 안내 및 개인맞춤서비스 제공을 위한 자료
- 기타 원활한 양질의 서비스 제공 등
▶ 수집하는 개인정보의 항목
- 이름, 주소, 연락처, 핸드폰번호, 그 외 선택항목
▶ 개인정보의 보유 및 이용기간
- 원칙적으로 개인정보의 수집 또는 제공받은 목적 달성 시 지체 없이 파기합니다.
- 다만, 원활한 서비스의 상담을 위해 상담 완료 후 내용을 3개월간 보유할 수 있으며 전자상거래에서의 소비자보호에 관한 법률 등 타법률에 의해 보존할 필요가 있는 경우에는 일정기간 보존합니다.

구미이튼 365 임플란트

통합치의학 전문의가 처음부터 끝까지 책임진료

건강보험 적용으로 부담없이

보험 틀니

임플란트 비용이 부담된다면?

요즘은 남녀노소 임플란트를 선호하는 추세이지만 출혈이나 비용, 수술에 대한 부담감 등으로 틀니가 필요한 분들 역시 많습니다.
치아가 하나도 없는 완전무치악의 경우 완전틀니를, 일부 치아가 남아있는 부분무치악의 경우 부분틀니를 적용하게 됩니다.
사실 틀니는 임플란트에 비해 훨씬 많은 시간과 정성을 들여야 하는 시술이며 제작 단계마다 복잡한 과정을 거쳐야 합니다. 또한 제작하는 사람의 기술력에 따라 천차만별로 달라질 수 있는 치료이기에 틀니제작 경험이 많은 곳을 선택하는 것이 중요합니다.
img

틀니 보험적용

대상자

만 65세 이상
어르신들

본인부담금

틀니 장착 비용의
30%

급여 횟수

7년에 1회

보험 틀니, 이런분께 추천합니다.

  • 치아의 기능을 상실한 경우

  • 상,하악 모든 치아를 잃은 경우

  • 임플란트 식립이 불가능한 경우

  • 임플란트 비용이 부담인 경우

  • 상실된 치아의 인접한 치아가 모두 건강한 경우

틀니의 종류

완전 틀니

img
치아가 하나도 없을 때 잇몸을 이용하여 지탱하는 틀니

부분 틀니

img
치아가 전부 상실된 경우가 아닐 때, 상실된 치아를 보충해주는 틀니

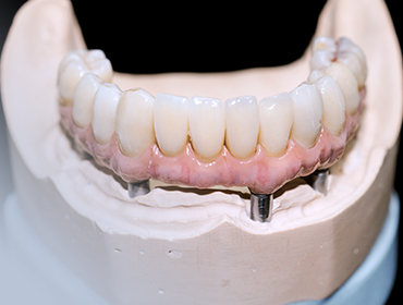
임플란트 틀니

img
정상 치아가 거의 없을 경우, 많은 임플란트를 식립하기에는 비용이 부담될 경우, 적은 수의 임플란트를 심고, 전체 틀니를 잡아주는 힘을 보강해주는 치료법

보험 틀니 주의사항

  • 불편한 곳이 있으시면 반드시 치과에 내원하셔서 조정하셔야 합니다. 보험틀니일 경우 3개월이 경과한 후 조정은 비용이 발생됩니다.

  • 틀니를 처음 사용 시 부드러운 음식 위주로 식사해주시고 음식물을 씹으실 때에는 꼭 양측으로 같이 씹으셔야 합니다.

  • 틀니가 다 들어가지 않은 상태에서 씹으시면 틀니가 변형될 수 있습니다.

  • 식사 후 틀니는 중성세제로 씻어주세요.

  • 뜨거운 물에 소독을 하시거나 열을 가하실 경우 틀니가 영구적으로 변형될 수 있습니다.

  • 치약을 사용하실 경우 마모될 수 있습니다.

  • 틀니를 떨어뜨리면 깨질 수 있으므로 주의해 주세요.

  • 폴리덴트를 사용하시면 틀니 세척에 도움이 됩니다.

  • 주무시거나 사용하지 않으실 때에는 찬물을 넣은 틀니 통에 넣어 보관해 주세요.